你有没有想过,家里的那件大衣,是不是该有个更好的归宿呢?没错,就是那个小小的衣架。今天,咱们就来聊聊这个话题——成人衣架挂大衣好...
你有没有发现,最近网上那些套路成人话题的视频真是让人眼花缭乱啊!它们就像一个个精心编排的剧本,让人忍不住想一探究竟。今天,就让我...
亲爱的读者们,你是否曾在某个夜晚,无意间在网络上瞥见那些充满青春气息的成人高考校园视频?那些镜头下,是不是也让你想起了自己曾经的...
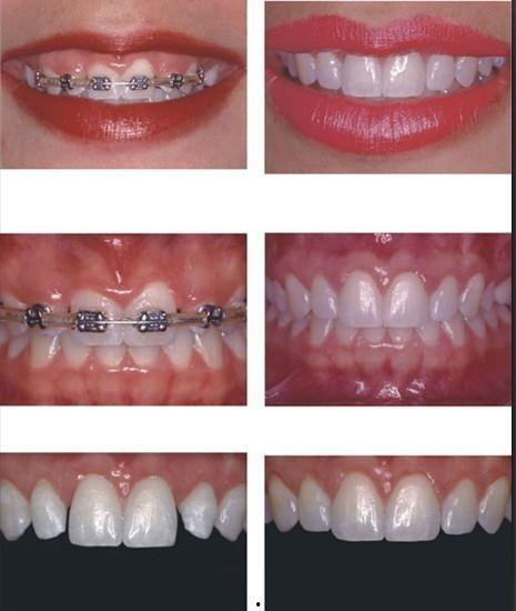
你知道吗?现在网络上有很多关于成人嘴部矫正的视频教程,简直就像是个宝藏库,让人忍不住想一探究竟。今天,我就要带你走进这个神秘的世...
你有没有想过,在互联网的海洋中,竟然隐藏着这样一个神秘的世界?没错,就是成人黄页视频网站。这些网站就像深海中的珊瑚礁,虽然不被大...
亲爱的读者,你是否曾在某个闲暇时刻,好奇地搜索过“轻草成人分类视频”?没错,就是那种让人心跳加速、好奇心爆棚的内容。今天,就让我...
夏日炎炎,是不是觉得食欲不振,又不想出门吃饭?别急,今天就来给你安利一下超级实用的技能——如何在家自制凉面!而且,现在网上有很多...
你有没有想过,穿上一条合身的裤子,竟然能瞬间提升你的气质和自信?尤其是对于胖成人来说,一条合适的裤子更是能遮住小肚腩,拉长腿部线...
你有没有想过,在忙碌的生活中,给自己找点乐趣呢?比如,尝试一下成人朗诵合拍视频软件,让声音和画面同步,是不是听起来就很有趣呢?下...
最近是不是也被那些温暖又时尚的育克成人毛衣视频给吸引了呢?没错,我就被它们迷得团团转!今天,就让我带你一起深入探索这些毛衣的魅力...